Call Us

+91 9825094525
  • Home
  • About Us
  • Cancer Types
    • Breast Cancer Treatment
    • Chemotherapy
    • Mouth and Throat Cancer
    • Uterine Cancer
  • Critical Cases
    • Critical Cases - 2026
    • Critical Cases - 2025
    • Critical Cases - 2024
    • Critical Cases - 2023
    • Critical Cases - 2022
    • Critical Cases - 2021
    • Critical Cases - 2020
    • Critical Cases - 2019
    • Critical Cases - 2018
  • Gallery
    • Photos
    • Videos
      • Videos-2026
      • Videos-2025
      • Videos-2024
      • Videos-2023
      • Videos-2022
      • Videos-2021
      • Videos-2020
  • 360° Views
  • Blog
  • News & Achievements
  • Contact

Critical Cases

Home Critical Cases

Critical Cases



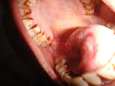
32 YEARS OLD MALE SUFFERING FROM RIGHT LOWER GINGIVO BUCCAL MUCOSA CARCINOMA INVOLVING RIGHT RETROMOLAR TRIGONE.PATIENT HAS ACTIVE PULMONARY TUBERCULOSIS.RIGHT RADICAL NECK DISSECTION WITH RIGHT DISTAL MANDIBULECTOMY WITH RIGHT LOWER ALVEOLECTOMY WITH RIGHT PECTORALIS MAJOR MYOCUTANEOUS FLAPE DONE.

31-12-2021
Awesome Image
Awesome Image
Awesome Image




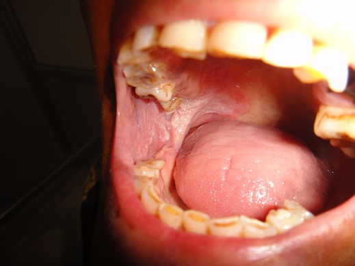
60 years old male suffering from lower GB sulcus carcinoma involving mandible and external chin skin.patient is diabetic with hypertension with hypothyroidism.left radical neck dissection with central arch mandibulectomy with external chin skin excision with bilobe PM flape done

29-12-2021
Awesome Image
Awesome Image
Awesome Image




55 years old male suffering from right buccal mucosa carcinoma.the lesion is T1N0M0. Ct chest and ultrasound of liver are normal.blood investigation are normal.right radical neck dissection with right distal mandibulectomy with right buccal mucosa growth excision with right pectoralis major myocutaneous flape done.

28-12-2021
Awesome Image
Awesome Image
Awesome Image




55 years old male suffering from right advanced buccal mucosa carcinoma.right mandible and right cheek skin is involved.multiple neck nodes are enlarged.x ray chest and usg liver are normal.pre operative 5 units of blood given.right radical neck dissection with right hemimandibulectomy with right bilobe pm flape was done

23-12-2021
Awesome Image
Awesome Image
Awesome Image




49 years old female suffering from right breast carcinoma. size of the lump was 4cm*3cm. sonography axilla doesn’t show any enlarged nodes. mammography shows right breast lesion only. x-ray chest and use of liver are normal. right modified radical mastectomy with right LD flaps done.

15-12-2021
Awesome Image
Awesome Image




59 YEARS OLD MALE SUFFERING FROM LEFT CHHEK SINUS WITH MASS IN LEFT MAXILLARY SINUS.PATIENT WAS OPERATED IN 2015 FOR LEFT BUCCAL MUCOSA CARCINOMA.PATIENT WAS RADIATED.IN 2019 PATIENT WAS OPERATED FOR LEFT PALATAL CARCINOMA.NOW PATIENT DEVELPOED LEFT MAXILLARY GROWTH WITH CHEEK SINUS.LEFT TOTAL MAXILLECTOMY WITH WIDE EXCISION OF LEFT CHEEK SKIN WITH FOREHEAD FLAPE DONE.

13-12-2021
Awesome Image
Awesome Image
Awesome Image


30 YEARS OLD FEMALE SUFFERING FROM BILATERAL BREAST CARCINOMA WITH AXILLAY NODE METASTASIS.TRUE CUT BIOPSY SHOWS LOBULAR CARCINOMA IN BOTH BREASTS.PET CT SHOWS DISEASE LIMITED TO BOTH BREASTS AND AXILLARY NODES.NO FAMILY HISTORY OF BREAST CANCER.IT IS VERY UNUSUAL PATIENT REPRESENTING BOTH BREAST CANCER SIMULTANEOSLY.RIGHT MODIFIED RADICAL MASTECTOMY WITH CHEST WALL RECONSTRUCTION AND LEFT BREAST OUTER UPPER AND LOWER BREAST QUADERCTOMY WITH ROTATION FLAPE DONE.PATIENT WILL REQUIRE CHEMPTHERAPY WITH RADIOTHERAPY.PROGNOSIS OF THE PATIENT IS VERY POOR.

11-12-2021
Awesome Image
Awesome Image
Awesome Image
Awesome Image
Awesome Image
Awesome Image


34 years old female suffering from left breast carcinoma,the tumour size was 4cm *4cm.true cut biopsy shows ductile carcinoma.sonography of left axilla shows three metastatic nodes.sonography of abdomen and x ray chest are normal.blood investigations are normal.left modified radical mastectomy was done.according to histopathology chemotherapy and radiotherapy will be decided.

01-12-2021
Awesome Image
Awesome Image
Awesome Image


36 years old female suffering from left breast advanced carcinoma.usg shows multiple lymph nodes and tumour size is 7cm*5cm. Today modified radical mastectomy done.patient will require adjuvant chemotherapy plus radiotherapy .

29-11-2021
Awesome Image
Awesome Image


40 YEARS OLD MALE SUFFERING FROM LEFT POSTERIOR NECK NODE METASTATIC MASS. THE MASS IS ADHERENT TO LEFT ICA.PATIENT WAS OPERATED FOR RIGHT TONGUE CARCINOMA BEFORE 9 MONTHS AT SOME OTHER PLACE .PATIENT HAS TAKEN POST OPERATIVE RADIOTHERAPY.TODAY WIDE EXCISION OF LEFT NECK NODAL MASS WITH RECNONSTRUCTION OF THE DEFECT WITH LEFT PECTORALIS MAJOR FLAPE DONE.

25-11-2021
Awesome Image
Awesome Image
Awesome Image


70 years old male suffering from left base tongue carcinoma crossing midline.Neo adjuvant chemotherapy in form TPF given.After 2 cycles of the chemotherapy the growth was reduced to 70%.so the surgery was planned.Today surgery was planned.left radical neck dissection with left base tongue growth excision with left pectorals major myocutaneous flape with tracheotomy done.

22-11-2021
Awesome Image
Awesome Image
Awesome Image


53 YEARS OLD FEMALE SUFFERING FROM RIGHT BREAST TUMOUR.FNAC SHOWS IT IS CARCINOMA.USG ABDOMEN AND X RAY CHEST IS NORMAL.RIGHT MODIFIED RADICAL MASTECTOMY WITH RIGHT LATTISMUS DORSI FLAPEDONE. PATIENT WAS ADVISED TO GO FOR GENETIC STUDY FOR HEREDIETARY TRANSMISSION OF THEV DISEASE.

01-11-2021
Awesome Image
Awesome Image
Awesome Image
Awesome Image
Awesome Image


82 years old female suffering from soft palate carcinoma.CT scan shows the tumour arising from soft palate and involving the uvula.Pt has no significant lymph nodes.considering the age of the patient wide excision of the soft palate with primary closure of the soft palate done.patient has diabetes and hypertension.Her echo shows the LVEF 45%with sclerosis of the valves.

18-10-2021
Awesome Image
Awesome Image
Awesome Image
Awesome Image


54 years old female suffering from right breast recurrent carcinoma.patient was operated before one year at other place.then patient was given chemotherapy 8 cycles which includes trastuzumab and docitaxol.patient was disease for 12 months after surgery.then patient develops heart failure as a complication of trastuzumab.Recent PET CT shows recurrent carcinoma in skin of the chest wall.So wide excision with reconstruction of chest wall with local rotation flape.

14-10-2021
Awesome Image
Awesome Image
Awesome Image
Awesome Image


42 years old female suffering from advance right buccal mucosa carcinoma involving mandible and maxilla. patient was operated in 2020 for the same disease. since last 6 months pt has swelling on right cheek. patient was treated with radiotherapy and chemotherapy but no response.CT scan shows tumour infiltrating to cheek skin and mandible with maxilla. previously right pectoralis flape was used. tumour was going to retromaxillary area.so wide excision of right cheek growth with right mandibulectomy with right lower partial maxillectomy with forehead flape was done. post operative recovery was uneventful.

08-10-2021
Awesome Image
Awesome Image


43 years old male suffering from right anterior 2/3 tongue lateral margin carcinoma.Right radical neck dissection with right lateral margin tongue growth wide excision done

02-10-2021
Awesome Image
Awesome Image
Awesome Image
Awesome Image


37 years old female suffering from right breast carcinoma.right modified radical mastectomy done

20-09-2021
Awesome Image
Awesome Image


52 years old male suffering from left buccal mucosa carcinoma involving lower GB sulcus.let radical neck dissection with left hemimandibulectomy with lower partial maxillectomy with PMMC flape done

20-09-2021
Awesome Image
Awesome Image
Awesome Image
Awesome Image


50 years old male suffering from lower lip carcinoma with big metastatic nodal mass in submandibular area.Right radical neck dissection with wide excision of lower lip with right nasolabial flape with PMMC flape done

17-09-2021
Awesome Image
Awesome Image
Awesome Image
Awesome Image
Awesome Image


65 years old male suffering from right buccal mucosa carcinoma involving upper GB sulcus.right radical neck dissection with right lower partial maxillectomy with right PM flape done

15-09-2021
Awesome Image
Awesome Image
Awesome Image
Awesome Image


56 years old male suffering from glottic carcinoma extending in to subglottic area .patient had radiotherapy and chemotherapy in 2019.Today Laryngectomy with pharyngectomy with Patch pharyngoplasty with PM flape done.

14-09-2021
Awesome Image
Awesome Image


46 YEARS OLD MALE SUFFERING FROM LEFT RMT CARCINOMA GOING RETROMAXILLARY INVOLVING PALATE.LEFT RADICAL NECK DISSECTION WITH LEFT DISTAL MANDIBULECTOMY WITH LEFT LOWER PARTIAL MAXILLECTOMY WITH LEFT PECTORALIS FLAPE DONE.

13-09-2021
Awesome Image
Awesome Image


52 YEARS OLD MALE WAS OPERATED BEFORE 5 YEARS FOR PALATAL CARCINOMA.TOTAL MAXILLECTOMY WAS DONE TEMPORALIS FLAPE.PATIENT WAS GIVEN RADIOTHERAPY.NOW PATIENT HAS COMPLETE TRISMUS.RIGHT DISTAL MANDIBULECTOMY WITH PM FLAPE DONE.

08-09-2021
Awesome Image


62 YEARS OLD FEMALE SUFFERING FROM LEFT BREAST LUMP WITH PUCKERING OF SKIN ON TUMOUR SURFACE.LEFT MODIFIED RADICAL MASTECTOMY DONE

08-09-2021
Awesome Image
Awesome Image


60 YEARS OLD MALE HAVING LEFT LOWER ALVEOLUS CARCINOMA.PATIENT WAS OPERATED BEFORE ONE YEAR HAVING FREE FIBULAR GRAFT.THE GRAFT WAS REJECTED AND PATIENT HAS MULTIPLE SUBMANDIBULAR SINUSES.EXCISION OF LEFT FIBULAR GRAFT WITH WIDE EXCISION OF CHEEK SKIN WITH PM FLAPE DONE.

06-09-2021
Awesome Image
Awesome Image
Awesome Image


62 YEARS OLD FEMALE SUFFERING FROM LEFT BREAST CARCINOMA.TUMOUR WAS INNER LOWER QUADRANT.LEFT MODIFIED RADICAL MASTECTOMY DONE.

06-09-2021
Awesome Image
Awesome Image


50 years old female suffering from left breast mass since one month.FNAC shows left breast carcinoma..left modified radical mastectomy done.

01-09-2021
Awesome Image
Awesome Image


57 years old male suffering from right lateral margin middle 1/3 and post 1/3 tongue carcinoma. patient had past history of left lateral margin tongue carcinoma surgery before 2 years.pt was given radiotherapy.Right radical neck dissection with right distal mandibulectomy with wide excision of right tongue growth with right PM flape done.

26-08-2021
Awesome Image
Awesome Image


60 years old lady suffering from left lateral margin tongue carcinoma.Left radical neck dissection with wide excision of left lateral margin tongue growth done.

21-08-2021
Awesome Image
Awesome Image
Awesome Image


47 years old female suffering from right submandibular metastatic nodal mass having primary in right retromolar trigone involving upper gb sulcus.Right radical neck dissection with right lower partial maxillectomy with right PM flape done.

20-08-2021
Awesome Image
Awesome Image
Awesome Image
Awesome Image


22 years old boy suffering from right mandible chondroblastic osteosarcoma.patient was operated at other institute for semenal excision of right mandible with fibular graft.patient had post operative radiotherapy and chemotherapy.patient had again recurrence of tumour an left mandible and right remaining mandible.Right hemimandibulectomy with left anterior manible excision with right PM flape done.

19-08-2021
Awesome Image
Awesome Image


68 years old male suffering from lower GB sulcus carcinoma involving floor mouth and lower mandible with external cheek skin.Right radical neck dissection with left SOHND with central arch mandibulectomy with lower GB sulcus growth with floor mouth growth excision with right PM flape done.

17-08-2021
Awesome Image
Awesome Image
Awesome Image
Awesome Image
Awesome Image
Awesome Image


63 YEARES OLD FEMALE SUFFERING FROM ROGHT LATERAL MARGIN TONGUE CARCINOMA.RIGHT RADICAL NECK DISSECTION WITH RIGHT EXTENDED HEMIGLOSSECTOMY DONE

12-08-2021
Awesome Image
Awesome Image
Awesome Image


42 years old male suffering from left buccal mucosa carcinoma involving upper g b sulcus and RMT.left radical neck dissetion with left distal segmental mandibulectomy with left lower partial maxillectomy with left PM flape done

04-08-2021
Awesome Image
Awesome Image
Awesome Image


45 years old male suffering from advance right buccal mucosa carcinoma involving outer cheek skin and mandible.pt had past h/o of surgery twice for right buccal mucosa carcinoma at Banglore.pt had post operative chemo plus radiotherapy.pt was given targeted therapy.but it was not effective.Today right buccal mucosa growth excision with right hemimandibulectomy with external cheek skin excision with right PM flape with forehead flape done.

27-07-2021
Awesome Image
Awesome Image
Awesome Image
Awesome Image


59 years old male suffering from soft palate carcinoma involving posterior pharyngeal wall as well as lateral pharyngeal wall.patient had past h/o ofv right buccal mucosa carcinoma surgery before 5 years and left retromolar trigone and softpalate carcinoma surgery before 4 months.Radiotherapy was given before 2 months .total maxillectomy with pharyngeal wall growth excision with tongue flape to cover pharyngeal wall defect and primary STG on palate defect was done.

23-07-2021
Awesome Image


59 YEARS OLD MALE SUFFERING FROM RIGHT BUCCAL MUCOSA CARCINOMA INVOLVING MANDIBLE AND MAXILLA.EXTERNAL CHEEK SKIN IS INVOLVED,.RIGHT RADICAL NECK DISSECTION WITH RIGHT HEMIMANDIBULECTOMY WITH RIGHT LOWER PARTIAL MAXILLECTOMY WITH BILOBE PM FLAPE DONE.

19-07-2021
Awesome Image
Awesome Image
Awesome Image
Awesome Image


49 YEARS OLD FEMALE SUFFERING FROM RIGHT BREAST MASS.LUMPECTOMY WAS DONE OUTSIDE.HPE SHOWS DUCTAL CARCINOMA.RIGHT MODIFIED RADICAL MASTECTOMY WITH RIGHT LATISSMUS DORSI FLAPE DONE.

16-07-2021
Awesome Image
Awesome Image
Awesome Image


69 YEARS OLD MALE SUFFERING FROM RIGHT LOWER GB SULCUS CARCINOMA.ALVEOLAR PROCESS AND ALVEOLAR CANAL WERE INVOLVED.RIGHT RADICAL NECK DISSECTION WITH RIGHT SEGMENTALN MANDIBULECTOMY WITH RIGHT PECTORALIS MAJOR FLAPE DONE.

15-07-2021
Awesome Image
Awesome Image
Awesome Image
Awesome Image
Awesome Image
Awesome Image


59 YEARS MALE SUFFERING FROM ADVANCE LEFT ANTERIOR 2/3 TONGUE CARCINOMA INVOLVING FLOOR MOUTH .PATIENT HAD PAST HISTORY OF CABG BEFORE ONE AND HALF MONTH.WITH ALL CARDIAC PRECAUTION LEFT RADICAL NECK DISSECTION WITH LEFT EXTENDED HEMIGLOSSECTOMY WITH SEGMENTAL MANDIBULECTOMY WITH LEFT PECTORALIS MAJOR FLAPE DONE.

13-07-2021
Awesome Image
Awesome Image
Awesome Image


47 YEARS OLD MALE SUFFRING FROM LEFT LOWER GB SULCUS CARCINOMA INVOLVING EXTERNAL CHEEK SKIN AND FLOOR MOUTH.LEFT RADICAL NECK DISSECTION WITH LEFT EXTENDED HEMIMANDIBULECTOMY WITH EXTERNAL CHEEK SKIN GROWTH EXCISION WITH BILOBE PM FLAPE DONE.

08-07-2021
Awesome Image
Awesome Image
Awesome Image
Awesome Image
Awesome Image
Awesome Image


54 YEARS OLD FEMALE SUFFERING FROM LEFT OVARIAN MASS WITH ASCITES.CA 125 WAS HIGH.CT SCAN SHOWS 15*CM *15CM MASS ARISING FROM LEFT OVARY.REMAINING ABDOMEN WAS NORMAL.PAN HYSTRECTOMY WITH OMENTECTOMY DONE.

07-07-2021
Awesome Image
Awesome Image
Awesome Image


47 YEARS OLD FEMALE SUFFERING FROM LEFT LATERAL MARGIN TONGUE CARCINOMA CROSSING MIDLINE.LEFT EXTENDED HEMIGLOSSECTOMY WITH SEGMENTAL MANDIBULECTOMY WITHE LEFT RADICAL NECK DISSECTION WITH LEFT PECTORALIS MAJOR FLAPE DONE

05-07-2021
Awesome Image
Awesome Image


47 YEARS OLD FEMALE SUFFERING FROM LEFT RETROMOLAR TRIGONE CARCINOMA.PET CT SHOWS LOCALISED DISEASE TO RIGHT RETROMOLAR TRIGONE ONLY.RIGHT RADICAL NECK DISSECTION WITH RIGHT DISTAL MANDIBULECTOMY WITH RIGHT LOWER ALVEOLECTOMY WITH RIGHT PM FLAPE DONE

04-07-2021
Awesome Image
Awesome Image
Awesome Image
Awesome Image


70 YEARS OLD MALE SUFFERING FROM LEFT SOFT PALATE CARCINOMA .LEFT RADICAL NECK DISSECTION WITH LEFT SOFT PALATE GROWTH EXCISION WITH LEFT NASOLABIAL FLAPE DONE.

26-06-2021
Awesome Image
Awesome Image
Awesome Image
Awesome Image


82 years old male suffering from right buccal mucosa carcinoma involving lower GB sulcus. Right modified radical neck dissection with right segmental mandibulectomy with right buccal mucosa growth excision with right nasolabial flape done.

23-06-2021
Awesome Image
Awesome Image
Awesome Image


70 years old female suffering from lump in right breast since 3 months.Biopsy shows carcinoma.patient has liver disease .patient was operated for right breast modified radical mastectomy.

21-06-2021
Awesome Image
Awesome Image


32 years old female suffering from left breast carcinoma.size of tumour is 6*6 cm.multiple axillary nodes were there.left modified radical mastectomy done

19-06-2021
Awesome Image
Awesome Image


65 years old male suffering from acute intestinal obstruction.pt had past h/o carcinoma of rectum.pt had two surgeries at USA.first low anterior resection and second APR.12 cycles chemotherapy given in 2017.Proton therapy was given in 2018.CT scan shows acute small bowel obstruction.on exploration very thick band obstructing small bowel and firm mass in pelvis lying retroperitonealy where some illegal loop were adherent. Band was excised and side to side small bowel anastomosis was done.

14-06-2021
Awesome Image
Awesome Image
Awesome Image
Awesome Image
Awesome Image
Awesome Image
Awesome Image
Awesome Image
Awesome Image


59 YEARS OLD MALE SUFFERING FROM LOWER GINGIVOBUCCAL CARCINOMA .LESION INVOLVES RIGHT MANDIBLE UP TO RAMUS AND LEFT MANDIBLE UP TO ANGLE.RIGHT RADICAL NECK DISSECTION WITH LEFT SOHND WITH NEAR TOTAL MANDIBULECTOMY WITH RIGHT PM FLAPE DONE

04-06-2021
Awesome Image
Awesome Image
Awesome Image
Awesome Image
Awesome Image


52 YEARS FEMALE SUFFERING FROM LEFT OVARIAN MASS MEASURING 11CM*11CM*10CM.CA 125 IS NORMAL.PANHYSTRECTOMY WITH OMENTECTOMY DONE.

31-05-2021
Awesome Image


49 YEARS OLD LADY SUFFERING FROM LEFT BREAST TUMOUR.PATIENT WAS OPERATED FOR RIGHT BREAST CARCINOMA BEFORE 5 YEARS.LEFT MODIFIED RADICAL MASTECTOMY DONE.WITH SKIN GRAFTING AT SKIN DEFECT WAS DONE

28-05-2021
Awesome Image
Awesome Image
Awesome Image


74 years old female suffering from left breast carcinoma of axillary tail.left modified radical mastectomy done.

27-05-2021
Awesome Image
Awesome Image
Awesome Image


49 years old male suffering from left lower GB sulcus carcinoma extending to right side.patient is HIV positive.left radical neck dissection with left extended hemi mandibulectomy with Bilobe PM FLAPE done.

25-05-2021
Awesome Image
Awesome Image
Awesome Image
Awesome Image


50 years old male suffering from left buccal mucosa carcinoma.he had surgery before 2 years.patient has complete necrosis of left PM flape.pt has very big left cheek defect.Today Forehead flape to close the left cheek defect done.

24-05-2021
Awesome Image
Awesome Image
Awesome Image


74 years old female suffering from locally advance right breast carcinoma.ER is strongly positive..Right modified radical mastectomy done.

23-05-2021
Awesome Image
Awesome Image
Awesome Image


47 years old male suffering from left lateral margin middle 1/3 tongue carcinoma.Left Radical Neck dissection with left lateral margin tongue growth excision done. primary closure of tongue done.

22-05-2021
Awesome Image
Awesome Image
Awesome Image
Awesome Image


78 years old female suffering from right breast carcinoma.right modified radical mastectomy done

19-05-2021
Awesome Image
Awesome Image


42 yeras old male suffering from right buccal mucosa carcinoma involving mandible and maxilla.Right radical neck dissection with right distal mandibulectomy with right lower partial maxillectomy with right PM flape done

14-05-2021
Awesome Image
Awesome Image
Awesome Image


83 years old female suffering from locally advance left breast cancer.Left Modified Radical Mastectomy done

24-04-2021
Awesome Image
Awesome Image


40 years old male suffering from left pyriform carcinoma involving left lateral pharyngeal wall.left level 2,3,4 neck dissection with Laryngectomy with pharyngectomy with patch pharyngoplasty with left PM flape done.

23-04-2021
Awesome Image
Awesome Image
Awesome Image
Awesome Image
Awesome Image
Awesome Image


70 years old male suffering from left buccal mucosa carcinoma involving both upper and lower HB sulcus.left radical neck dissection with left distal mandibulectomy with left lower partial maxillectomy with left PM flape done.

22-04-2021
Awesome Image
Awesome Image
Awesome Image


52 years old male suffering from left retromolar trigon carcinoma.Left radical Neck dissection with left distal mandibulectomy with left lower partial maxillectomy with left PM flape done.

17-04-2021
Awesome Image
Awesome Image
Awesome Image


36 years old female suffering from pain in abdomen.on exploration it shows Right Fallopian tube mass.

14-04-2021
Awesome Image
Awesome Image


44 years old male suffering from Right buccal mucosa carcinoma involving superior GB sulcus and inferior GB sulcus.The growth extending toeard the cheek skin.Right level 4 & 5 neck dissection(pt was operated for right buccal mucosa carcinoma before 5 years and SOHND was done) with right hemimandibulectomy with Right Bilobe PM flape was done.

12-04-2021
Awesome Image
Awesome Image
Awesome Image
Awesome Image


44 YEARS OLD FEMALE SUFFERING FRO RIGHT BREAST CARCINOMA.RIGHT BREAST MODIFIED RADICAL MASTECTOMY WITH RIGHT LD FLAPE DONE.

10-04-2021
Awesome Image
Awesome Image
Awesome Image
Awesome Image
Awesome Image
Awesome Image


A case of left lower GB sulcus carcinoma Let radical neck dissection with left hemimandibulectomy with left PM flape done

06-04-2021
Awesome Image
Awesome Image
Awesome Image


39 years old female suffering from right breast carcinoma.Right modified radical mastectomy with right LD flape done

18-03-2021
Awesome Image
Awesome Image
Awesome Image
Awesome Image


58 years old female suffering from right breast carcinoma.Right modified radical mastectomy done

17-03-2021
Awesome Image
Awesome Image
Awesome Image


60 years old lady suffering from carcinoma cervix involving posterior vaginal wall with left parametrise involvement.werthim’s hysterectomy done.

16-03-2021
Awesome Image


58 years old male suffering from right buccal mucosa carcinoma involving upper and lower GB sulcus.Right radical neck dissection with right distal mandibulectomy with right upper alveolectomy with right PM flape done

15-03-2021



Awesome Image
Awesome Image
Awesome Image


40 years old female suffering from right lateral margin tongue carcinoma involving floor mouth.Right radical neck dissection with right extended hemiglossectomy with floor mouth growth excision with right PM flape done

13-03-2021
Awesome Image
Awesome Image
Awesome Image
Awesome Image


Male aged 60 years suffering from left RMT and soft palate carcinoma was operated for left lower partial maxillectomy with wide excision of soft palate with left temporalis muscle flape done.

01-03-2021
Awesome Image
Awesome Image
Awesome Image
Awesome Image
Awesome Image


22 years old male suffering from left anterior 2/3 and post 1/3 tongue carcinoma involving floor mouth.pt had two cycles of neoadjuvant chemotherapy.Tumour was progressing.Today near total glossectomy with reconstruction with PM flape done.

22-02-2021
Awesome Image
Awesome Image
Awesome Image


45 years old lady suffering from left breast carcinoma.let modified radical mastectomy with left LD flape done

20-02-2021
Awesome Image
Awesome Image
Awesome Image


39 years old male suffering from left buccal mucosa carcinoma.left radical neck dissectionwith marginal mandibulectomy with left PM flape done.

20-02-2021
Awesome Image
Awesome Image
Awesome Image
Awesome Image
Awesome Image


42 years old male suffering from right neck swelling.FNAC shows metastatic squamous cell carcinoma.tumour was deeply adherent with IJV.excision was done

08-02-2021
Awesome Image


38 years male suffering from left buccal mucosa carcinoma involving lower mandible .Left radical neck dissection with left hemi mandibulectomy with left PM flape done.

29-01-2021
Awesome Image
Awesome Image
Awesome Image


56 years old female suffering from left breast carcinoma.left modified radical mastectomy done

27-01-2021
Awesome Image
Awesome Image


46 years old female suffering from large cervical growth.werthim’s hysterectomy done

22-01-2021
Awesome Image
Awesome Image


65 years old male suffering from left supraclavicular mass adherent with left IJV and Left CAROTID and TRACHEA..wide excision of left supraclavicular mass with left PM flape done.

18-01-2021
Awesome Image
Awesome Image
Awesome Image
Awesome Image
Awesome Image


46 yrs old male suffering from right lateral margin tongue growth. Right radical neck dissection with widw excision of right lateral margin tongue growth done.

17-01-2021
Awesome Image
Awesome Image
Awesome Image


60 YEARS OLD MALE SUFFERING RIGHT LOWER LINGUAL SURFACE GB SULCUS GROWTH.EROSION OF MANDIBULAR CORTEX PRESENT.RIGHT RADICAL NECK DISSECTION WITH RIGHT SEGMENTAL MANDIBULECTOMY WITH RIGHT PM FLAPE DONE.

02-01-2021
Awesome Image
Awesome Image
Awesome Image
Awesome Image


Address

1st Floor, R & A Chambers, Nr. Laxmi Cinema, Anand - 388 001. (Gujarat)

call us

Mobile: +91 9825094525

email us

shailesh_14264@yahoo.co.in

About Hospital

Surgicare Hospital aims to eliminate cancer by providing world class care to its patients and constantly evolves medicine to eliminate the ailment.


Read more..

Medical Treatments

  • • Breast Cancer Treatment
  • • Chemotherapy
  • • Mouth and Throat Cancer
  • • Uterine Cancer

Contact us

1st Floor, R & A Chambers, Nr. Laxmi Cinema, Anand - 388 001.(Gujarat)


Telephone: 02692 250620, 02692 255998, 02692 251420

Mobile: +91 9825094525

E-mail: shailesh_14264@yahoo.co.in

Popular Tags :- Critical cancer cases anand | Cancer surgeon in Anand | Cancer Hospital in Anand | Breast Cancer Treatment in Anand | female Genital Cancer Treatment in Anand | Head and Neck Cancer Treatment in Anand | Venous port placement in Anand | Cancer Counselling Center in Anand | Colon Cancer Treatment in Anand | Dr Shailesh Shah in Anand | Free Cancer Diagnosis in Anand | Cancer surgeon in gujarat | Cancer Hospital in gujarat | Cancer surgeon in india | cancer specialist in indore | Female Genital Cancer Treatment in Indore | Colon Cancer Treatment in Gwalior | Head and Neck Cancer Treatment in Ujjain | breast cancer treatment in rajasthan | Cancer Hospital in Jabalpur | cancer specialist in Jodhpur | Cancer surgeon in Udaipur | Female Genital Cancer Treatment in Jaisalmer | Free Cancer Diagnosis in Ajmer | Cancer surgeon | Cancer Hospital | cancer specialist | Female Genital Cancer Treatment | Colon Cancer Treatment | breast cancer treatment | Free Cancer Diagnosis | Head and Neck Cancer Treatment |

Copyright © 2022 All rights reserved.

Design By : Business7days