Critical Cases
42 years old male suffering from right lower Gingivo buccal growth involving mandible .CT scan shows level 1 ,2 lymphadenopathy .Right modified neck dissection with right hemimandibulectomy with right pectoralis flape done.
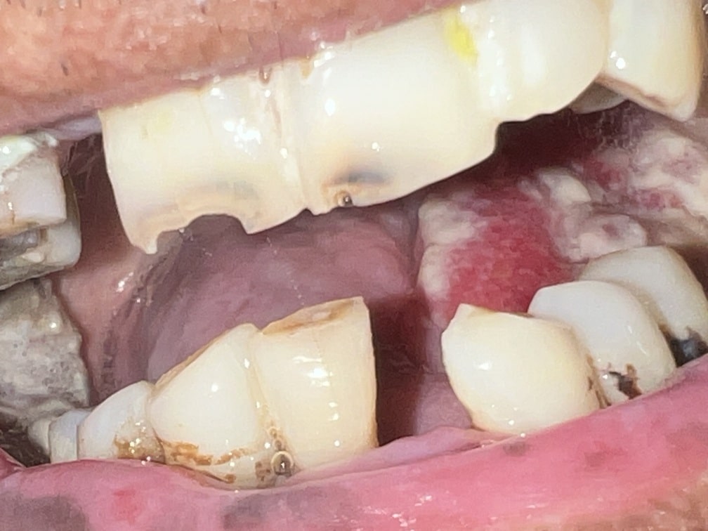
57 years old male suffering from right lateral margin tongue growth.Right modified neck dissection with wide excision of right tongue growth with primary closure done.
78 years old female suffering from left vulval growth reaching to opposite side and involving posterior vagina.Pet ct shows growth limited to vulval area no inguinal lymphadenopathy .extended vulvectomy with primary closure done.
56 years old male suffering from lower lip carcinoma .patient was operated for left buccal mucosa carcinoma before 2 years.lower lip growth was excised widely and left nasolabial flape with right karapanzi flape done
40 years old male suffering from right advance buccal mucosa carcinoma involving outer cheek skin and reaching up to zygomatic process.patient was given three cycles of chemo at outside without any response.so combination of Pembrolizumab with weekly cetuximab (4 cycles ) given.patint had 85% reduction in size of tumour clinically but radiological appearance has only 10% reduction.today right modified neck dissection with right hemimandibulectomy with right lower partial maxillectomy with wide excision of outer cheek skin with bilobe PM flape done.
47 years old female suffering from left lower GB sulcus growth involving cortex of mandible .left next in ct scan shows multiple necrotic lymphadenopathy .left modified neck dissection sacrificing left spinal accessory nerve with left lateral distal segmental mandibulectomy with wide excision of lower GB growth with reconstruction by pectoral flape done.
37 years old male suffering from right lateral margin tongue growth which is 2cm*2 cm and depth is .4 cm.CT scan shows no significant lymph adenopathy .Right modified neck dissection with right lateral margin post 1/3 tongue growth excision with primary closure done.
47 years old male suffering from right buccal mucosa carcinoma since long.CT scan shows growth is reaching up to lower GB sulcus.Upper GB sulcus is spared.neck ct shows level 1 lymphadenopathy .Right modified neck dissection with right distal mandibulectomy with right buccal mucosa growth excision with Right pectoralis muscle flape done.
59 yrs old female suffering from right breast lump since 3 years.true cut biopsy was done thrice turn out to be negative.MRI shows mild calcification in lesion .right breast lumpectomy was done before 10 days turn out to be high grade carcinoma.ER PR strongly positive.PET CT SHOWS no lesion in body .Right breast upper and lower outer quadrenctomy with axillary clearance done.Right breast defect was closed with mobilisation of breast pillar.
70 years old male suffering from infraumbillical mass which was size of 10cm *8cm.aspiration shows frank pus.CT shows mass arising from rectum sheath and muscle.Patient has three coronary stent .patient is diabetic and on anti coagulant .wide excision of infraumbillical mass with rectum muscle and sheath were done.primary closure done.
37 years old male suffering from left lateral margin tongue growth of middle third of anterior 2/3 of tongue.Ct scan shows no significant neck nodes.left modified neck dissection with left lateral segmental mandibulectomy with wide excision of tongue growth with left pectoralis flape done.
68 years old female suffering bilateral anterior maxillary growth eroding both maxilla anteriorly.CT scan shows eroded maxilla on both sides without any significant neck nodes.Right modified neck dissection with bilateral anterior maxillectomy with right nasal cavity floor excision with reconstruction by forehead flape done.
74 years old male suffering from right upper GB sulcus growth involving right buccal mucosa.Right modified neck dissection with right subtotal maxillectomy with reconstruction with right temporalis flape done.
42 years old male suffering from right buccal mucosa carcinoma approaching upper GB sulcus.CT scan shows level 1 lymphadenopathy .Right modified neck dissection with wide excision of right buccal mucosa growth with right nasolabial flape done.
65 years old male suffering from left buccal mucosa carcinoma.patient had liver transplant before 20 years .patient is on immunosuppressant .patient was radiated for left buccal mucosa carcinoma before 8 months.Pet ct of 15 days back lesion in left buccal mucosa and approaching to upper GB sulcus.no metabolically active neck nodes.so wide excision of left buccal mucosa growth with upper alveolectomy it’s reconstruction with left nasolabial flape done.
61 years old male suffering from right distal medial end osteoradionecrosis .patient was operated for central arch lower GB sulcus carcinoma and was operated left radical neck dissection with central arch mandibulectomy with floor mouth growth excision with left PM flape done in 2021.Now patient developed right distal medial mandibular end radionecrosis was excised by marginal mandibulectomy with reconstruction by nasolabial flape done.
80 years old male suffering from right buccal mucosa carcinoma with anterior 2/3 tongue lesion.patient was operated for central arch lower GB sulcus carcinoma .central arch mandibulectomy with reconstruction with bilobe PM flape done before 1 year.Right buccal mucosa growth excision with right nasolabial flape with right anterior 2/3 tongue lesion excision done.
87 years old female suffering from advance left breast carcinoma having single solitary lesion in liver.in 2022 true cut biopsy done and ER PR HER2 are negative.USG SHOWS BIG AXILLARY NODES .left modified radical mastectomy with axillary clearance with primary closure done.
42 years old male suffering from left buccal mucosa carcinoma involving left cheek and mandible.ct scan shows multiple lymph nodes at level 1,2.left modified neck dissection with left hemimandibulectomy with left cheek growth with buccal mucosa growth excision with upper alveolectomy with bilobe PM flape .
47 years old male suffering from left buccal mucosa carcinoma not invading cheek skin or any upper or lower GB sulcus.left modified neck dissection with left buccal mucosa growth excision with reconstruction by pectoralis flape done.
42 years old female suffering from left breast mass involving nipple.True cut biopsy shows invasive ductal carcinoma.left modified mastectomy with axillary clearance with primary closure done.
47 years old male suffering from left lower ,upper lip with buccal mucosa recurrent carcinoma.patient was operated for left buccal mucosa carcinoma in 2017.CT scan shows cut end of mandible was eroded and subtle erosion of maxilla .wide excision of left lower lip upper lip buccal mucosa upper alveolectomy with reconstruction of defect with forehead flape done.
47 years old male suffering from left lateral margin post 1/3 tongue growth .MRI shows lesion is 2.5*1.7*1.5 cm in dimension.No significant neck nodes.Left modified neck dissection with left post post 1/3 tongue growth wide excision with primary closure done.
47 years old male suffering from left anterior 2/3 ans posterior 1/3 tongue carcinoma involving papillae and floor mouth.CT scan shows multiple neck nodes at level 1,2,3.left radical neck dissection sacrificing left spinal Nerve with left lateral segmental mandibulectomy with extended hemiglossectomy with floor mouth excision with reconstruction of tongue with pectoral flape done
49 yers old female suffering from left lower GB sulcus growth involving outer cheek skin with erosion of body of mandible.left modified neck dissection with left hemimandibulectomy with outer cheek skin growth with bilobe PM flape with primary skin grafting done.
57 years old male suffering from left lateral margin middle 2/3 and posterior 1/3 tongue carcinoma reaching up to midline.left modified neck dissection with left lateral segmental mandibulectomy with wide excision of left tongue growth with reconstruction ba pectoralis flape was done.